The Daily Insight

Connected.Informed.Engaged.

updates

How are stomach cells specialized

Written by Olivia Shea — 0 Views

Parietal cells (oxyntic cells) of the stomach secrete acid, by pumping hydrogen ions across the cell membrane. These are among the most dramatically differentiated epithelial cells in the body, with functional specialization reflected in their microscopic appearance.

What are the specialized cells of the digestive system?

  • Mucous cells.
  • Parietal cells.
  • Chief cells.
  • Endocrine cells.

What are the three cells of the stomach?

The intermediate gastric glands produce most of the digestive substances secreted by the stomach. These glands are narrow tubules composed of three major cell types: zymogenic, parietal, and mucous neck cells.

What is the function of stomach cells?

Parietal cells (also called oxyntic cells) are the stomach epithelium cells which secrete gastric acid. Parietal cells produce gastric acid (hydrochloric acid) in response to histamine (via H2 receptors), acetylcholine (M3 receptors) and gastrin (gastrin receptors).

What are 4 cells of the stomach and their function?

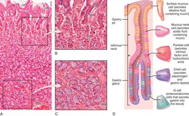
Four major types of secretory epithelial cells cover the surface of the stomach and extend down into gastric pits and glands: Mucous cells: secrete an alkaline mucus that protects the epithelium against shear stress and acid. Parietal cells: secrete hydrochloric acid. Chief cells: secrete pepsin, a proteolytic enzyme.

How do stomach cells communicate?

It has long been known that the stomach and intestines communicate with the brain. However, scientists thought that this exchange of information occurred through a slow diffusion of hormones released by specialized intestinal cells termed “enteroendocrine cells” into the bloodstream upon ingesting nutrients.

How are cells in the digestive system organized to form a body system?

The body has levels of organization that build on each other. Cells make up tissues, tissues make up organs, and organs make up organ systems. The function of an organ system depends on the integrated activity of its organs. For instance, digestive system organs cooperate to process food.

What is stomach histology?

Histologically, most of the stomach wall contains gastric glands (or fundic glands). These consist primarily of parietal cells and chief cells. The fundic glands also contain mucous neck cells and stem cells. Gastric parietal cells (oxyntic cells) secrete acid, by pumping chloride and hydrogen ions.

What stomach cells produce HCL?

Parietal cells within the stomach lining secrete hydrochloric acid that lowers the pH of the stomach. A low pH (1.5 to 2) activates pepsin.

What are the stomach chief cells?

The gastric chief cell (also known as a zymogenic cell or peptic cell) is a cell in the stomach that releases pepsinogen and chymosin. … This type of cell also secretes gastric lipase enzymes, which help digest triglycerides into free fatty acids and di- and mono-glycerides.

Article first time published on

What tissues are in the stomach?

Microscopic analysis of the stomach’s structure reveals that it is made of several distinct layers of tissue: the mucosa, submucosa, muscularis, and serosa layers.

What cells are in the gastric pits?

  • Goblet cells – secrete mucus to form a protective layer around the stomach lining.
  • Parietal cells – secrete hydrochloric acid which is responsible for creating a low pH environment in the stomach.
  • G cells – secrete gastrin (stimulates release of stomach acids to increase stomach acidity)

Is the cells lining the stomach an organ?

The stomach is a J-shaped organ in the upper belly (abdomen). It’s part of the digestive system. It’s between the end of the food pipe (esophagus) and the start of the first part of the small bowel (duodenum). The stomach is much like a bag with a lining.

How are cells in your chosen body system specialized?

This means they are modified by size, shape, or function according to their purpose. Specialized cells make up tissues, tissues make up organs, and organs make up the systems that work together to make up our bodies. Nerve cells, blood cells, and reproductive cells are examples of specialized cells.

How are cells organized?

Cells are organized into tissues, and tissues form organs. Organs are organized into organ systems such as the skeletal and muscular systems.

What is the difference between specialized cells and tissues?

Specialized cells perform specialized functions in multicellular organisms. Groups of specialized cells cooperate to form a tissue, such as a muscle. Different tissues are in turn grouped together to form larger functional units, called organs.

How are stomach cells protected from acid?

In the stomach several mucosal defence mechanisms protect the stomach against hydrochloric acid and noxious agents. The pre-epithelial protection is made up by the mucus-bicarbonate barrier. Mucus and bicarbonate, secreted by mucus cells, create a pH gradient maintaining the epithelial cell surface at near neutral pH.

How does the gut talk to the brain?

Microbes interact with gut cells called enteroendocrine cells that produce neuroactive molecules and peptides. These molecules interact with the vagus nerve, which sends signals to the brain.

How does stomach produce acid?

Acid is secreted by parietal cells in the proximal two thirds (body) of the stomach. Gastric acid aids digestion by creating the optimal pH for pepsin and gastric lipase and by stimulating pancreatic bicarbonate secretion.

What do parietal cells secrete in the stomach?

Parietal cells are responsible for gastric acid secretion, which aids in the digestion of food, absorption of minerals, and control of harmful bacteria.

How is stomach acid produced?

HCl is produced by the parietal cells of the stomach. To begin with, water (H2O) and carbon dioxide (CO2) combine within the parietal cell cytoplasm to produce carbonic acid (H2CO3), which is catalysed by carbonic anhydrase.

Where are stomach cells located?

These cells are located in the gastric glands found in the lining of the fundus and body regions of the stomach. They contain an extensive secretory network of canaliculi from which the HCl is secreted by active transport into the stomach.

Does the stomach have goblet cells?

Goblet cells are a requirement for the diagnosis of intestinal metaplasia of the stomach. The gastric mucosa is lined by a monolayer of columnar epithelium with some specialization at the crypts, but there are no goblet cells in normal gastric epithelium.

What are the structures of the stomach?

Structure. There are four main regions in the stomach: the cardia, fundus, body, and pylorus (Figure 23.4. 1). The cardia (or cardiac region) is the point where the esophagus connects to the stomach and through which food passes into the stomach.

What stimulates chief cells in the stomach?

The gastric chief cells are epithelial cells in the gastric glands in the stomach lining. They are responsible for the secretion of pepsinogen and gastric lipase. In humans, the gastric chief cells are stimulated by the acidic condition of the stomach as well as through the cholinergic activity from the vagus nerve.

Which cells secrete intrinsic factor in the stomach?

Intrinsic factor is produced by the gastric parietal cell. Its secretion is stimulated via all pathways known to stimulate gastric acid secretion: histamine, gastrin, and acetylcholine.

How anatomy of stomach facilitate the function of stomach?

The stomach secretes acid and enzymes that digest food. Ridges of muscle tissue called rugae line the stomach. The stomach muscles contract periodically, churning food to enhance digestion. The pyloric sphincter is a muscular valve that opens to allow food to pass from the stomach to the small intestine.

What are the 5 cells that make up the gastric pits and what are their functions?

The epithelial covering is one cell thick, and the cell types include columnar mucus and bicarbonate-secreting surface epithelial cells, mucous neck cells arranged in tubuloalveolar glands, acid-secreting parietal cells, pepsinogen-secreting chief cells, and neuroendocrine (enterochromaffin, argentaffin) cells that …

What process moves oxygen from the blood to the cells lining the stomach?

Dissolved or gaseous substances have to pass through the cell membrane to get into or out of a cell. Diffusion is one of the processes that allows this to happen. Diffusion occurs when particles spread. They move from a region where they are in high concentration to a region where they are in low concentration.

Why doesn't gastric juice destroy the stomach cells that make it?

This mucus layer also protects the mucosa from digestive enzymes in the lumen, but why dont the enzymes do damage before they are secreted from the exocrine cells of the mucosa? Because they are never present within the cells! The cells synthesize and secrete proenzymes that are larger than the active enzymes.

Why is the stomach J shaped?

Teeth break the food into smaller particles. Next, an enzyme in saliva starts to break down starches into simple sugars. Digestion continues in the stomach. When it’s empty, your stomach looks like an unexpanded J-shaped balloon.