The Daily Insight

Connected.Informed.Engaged.

updates

How do you treat a SLAC wrist

Written by John Parsons — 0 Views

Asymptomatic (SLAC) wrist generally does not require treatment. Symptomatic mild SLAC is managed nonoperatively, for example, wrist immobilization with splints, nonsteroidal anti-inflammatory drugs, and corticosteroid injections.

What are the symptoms of SLAC wrist?

  • Difficulty with weight-bearing across the wrist.
  • Significant pain in the area of the scapholunate interval.
  • Progressive weakness of the involved hand.
  • Wrist stiffness.
  • Weak grip strength.
  • Tenderness to palpation.
  • Reduced range of motion of the wrist.

What does SLAC wrist mean?

Scapholunate advanced collapse (SLAC) of the wrist is the most common pattern of degenerative arthritis in the wrist. The hallmark of SLAC is scaphoid or scapholunate ligament injury with collapse on the radial side of the wrist. Watson and Ballet coined the term SLAC wrist in 1984.

What causes SLAC?

CAUSES. Most cases of SLAC wrist start with a significant wrist sprain or fracture, but occasionally no history of injury is recalled. Some cases of scapholunate ligament injury may be due to repetitive heavy loading of the wrist as seen with obesity, or inflammatory conditions of the wrist that damage the ligament.

How common is SLAC wrist?

There are three different patterns of arthropathy seen about the wrist which include SLAC, triscaphe arthritis (between the trapezium, trapezoid and distal scaphoid) and a combination pattern. SLAC wrist is the most common type of wrist arthritis and accounts for approximately 55 % of all wrist arthritis [14].

What causes Scapholunate widening?

It results from the relative instability between the scaphoid and lunate bones secondary to the injury of scapholunate ligament and generally presents radiographically as a widened medial-lateral gap between the two carpal bones.

What is Stage 3 SLAC wrist?

Stage III SLAC wrist entails sclerosis and joint space narrowing between the lunate and capitate. Eventually, the capitate will migrate proximally into the space created by the scapholunate dissociation.

What is Scapholunate?

The scapholunate is an interosseous carpal ligament that provides stability to the proximal carpal row. It consists of dorsal, proximal and palmar segments that bridge the scaphoid and lunate.

What is SLAC surgery?

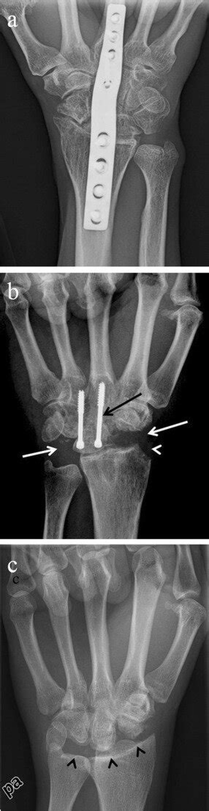
A SLAC reconstruction involves excision of the scaphoid and arthrodesis of the capitate, lunate, hamate, and triquetrum. Two parallel dorsal transverse incisions, a lazy S incision, or a central longitudinal incision over the distal radiocarpal joint and styloid process is made.

What bones are in wrist?

Your wrist is made up of eight small bones (carpal bones) plus two long bones in your forearm — the radius and the ulna. Each finger consists of one hand bone (metacarpal) and three finger bones (phalanges), while each thumb consists of one metacarpal bone and two phalanges.

Article first time published on

How do you treat a Scapholunate ligament tear?

Treatment for a Scapholunate ligament tear This may involve a wrist brace or a cast for 2-6 weeks, minimizing activity that causes pain such a tight gripping or pushing, and anti-inflammatory medications such as ibuprofen.

Where is the capitate bone?

The capitate is a carpal bone located in the most central portion of the wrist. The bones of the wrist are called carpals and the bones of the hand are called metacarpals. The capitate is the largest of the carpal bones. It lies between the trapezoid and hamate, which are also carpal bones.

Is wrist fusion surgery painful?

While you will lose some range of motion after wrist fusion surgery, you will no longer have pain, and you will regain the lost strength in your wrist over time. You will once again be able to grip and have strong flexion in your hand.

Is there such a thing as a wrist replacement?

Although performed less commonly than hip or knee replacement, wrist replacement can provide relief from pain and instability while preserving the range of motion needed for daily activities. “Wrist replacement can be an option for patients who are reluctant to have a wrist fusion.

Why does my wrist hurt a year after breaking it?

The third common form of wrist arthritis is called Post Traumatic Arthritis. Generally, this type of arthritis may develop in the months to years following a fracture or other severe injury in the wrist.

How do you dislocate lunate?

Perilunate and lunate dislocations result when great force is applied to a hyperextended wrist. They usually result from a fall on an outstretched hand or occur in a motor vehicle crash.

Where is the radial styloid?

The radial styloid process is found on the lateral surface of the distal radius bone. It extends obliquely downward into a strong, conical projection.

What is the ICD 10 code for SLAC wrist?

Scapholunate dissociation is generally from trauma, but may occur from calcium pyrophosphate deposition. Most common cause of wrist arthritis.

Why is arthrodesis performed?

Arthrodesis, also known as artificial ankylosis or syndesis, is the artificial induction of joint ossification between two bones by surgery. This is done to relieve intractable pain in a joint which cannot be managed by pain medication, splints, or other normally indicated treatments.

What causes Scapholunate dissociation?

Scapholunate dissociation is a rotatory subluxation of the scaphoid with widening of the gap between the scaphoid and lunate. It is caused by rupture of the ligaments between radius, scaphoid, lunate and capitate bones.

Is scaphoid hand or wrist?

The scaphoid bone is one of the carpal bones on the thumb side of the wrist, just above the radius. The bone is important for both motion and stability in the wrist joint. The word “scaphoid” comes from the Greek term for “boat.” The scaphoid bone resembles a boat with its relatively long, curved shape.

How long does it take for a scapholunate ligament tear to heal?

An incision is made on the back of the wrist and pins are inserted to hold the bones in place. Intra-operative x-ray is used to confirm the alignment while the Scapholunate Ligament is repaired using sutures anchored to the bone. Healing of the Scapholunate Ligament takes approximately 3 months.

How is Scapholunate instability treated?

  1. Immobilization of the Wrist. Immobilization with a wrist orthosis in the acute stages is a common intervention provided by a therapist in the acute stage. …
  2. Wrist Stabilization. Wrist stabilization involves strengthening the SL “friendly” muscles. …
  3. Proprioceptive Exercise.

What does a scapholunate ligament tear feel like?

The symptoms of scapholunate ligament injury are: Pain and swelling at the wrist joint. Pain aggravated by weight bearing, for example during a press up. Wrist instability and weakness.

How long does a proximal row Carpectomy last?

Overall, proximal row carpectomy remains a technically simple procedure and is capable of preserving motion and grip strength beyond 20 years; however, patients should be instructed that failure rates can be as high as 15%, pain relief may deteriorate over time, and patients may require daily medication to help resolve …

How is Scapholunate interval measured?

  1. scapholunate interval should be measured at the midpoint of the adjacent parallel articular contours of the two bones (the scapholunate interval normally narrows proximal to distal)
  2. widening is exacerbated on. clenched fist views. PA views with wrist in ulnar deviation (causes intercalated segment extension)

What is a DISI deformity?

Dorsal intercalated segment instability (DISI) is a deformity of the wrist where the lunate angulates to the posterior side of the hand.

How painful is a Scapholunate tear?

A wrist with an injured scapholunate ligament is often swollen and painful, especially with certain motions. You may also see the following symptoms: Pain when bending the wrist backward. Limited range of motion.

What is a positive Watson test?

A truly positive test requires both pain on the back of the wrist (not just where you are pressing on the scaphoid tuberosity), and comparison with the opposite wrist is essential.”

How do ligaments heal themselves?

Ligaments heal through a distinct sequence of cellular events that occur through three consecutive phases: the acute inflammatory phase, the proliferative or regenerative phase, and the tissue remodeling phase. Ligament healing is often slow and incomplete.

How can I increase my wrist size?

  1. Sit comfortably with your arm resting over your knees. …
  2. Move your hand up as far as possible and then down as far as possible in a slow and controlled motion.
  3. Do a set of 10, then repeat.
  4. Repeat the exercise, but with your palms facing up.