The Daily Insight

Connected.Informed.Engaged.

updates

What are examples of target cells

Written by Ava Barnes — 0 Views

For instance, steroid hormones, like the sex hormone groups estrogens and androgens, seek out specific target cells and bind to receptor proteins located inside the nucleus of the cell, as shown below.

What are target cells in the body?

A target cell responds to a hormone because it bears receptors for the hormone. In other words, a particular cell is a target cell for a hormone if it contains functional receptors for that hormone, and cells which do not have such a receptor cannot be influenced directly by that hormone.

Where are target cells located?

Specific nuclear binding sites are localized in the distal parts of the nephron, with some variations according to the steroid hormone considered: target cells for aldosterone are located in the distal tubule and cortical collecting duct, glucocorticoid receptors are present in all distal segments, whereas those of 1- …

What are target cells quizlet?

A target cell is a cell that possesses specific receptors for a particular hormone. Thus, a hormone affects only its specific target cell. You just studied 12 terms!

What are the target cells of estrogen?

Estrogens have multiple effects on the growth and development of cells in their target tissues, including the uterus, ovary, breast, bone marrow and brain. The hormone regulates the transcription of diverse genes in these tissues via the estrogen receptor, a nuclear transcription factor.

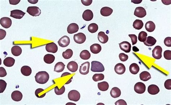
What are Leptocytes?

[ lĕp′tə-sīt′ ] n. An abnormally thin or flattened red blood cell having a central rounded pigmented area, a middle pigmentless zone, and a pigmented edge.

What are target cells anemia?

Target cells appear in conditions that cause the surface of the red cell to increase disproportionately to its volume. This may result from a decrease in hemoglobin, as in iron deficiency anemia, or an increase in cell membrane.

How do hormones enter target cells?

Hormones activate target cells by diffusing through the plasma membrane of the target cells (lipid-soluble hormones) to bind a receptor protein within the cytoplasm of the cell, or by binding a specific receptor protein in the cell membrane of the target cell (water-soluble proteins).

What is a target cell anatomy and physiology?

Target cells/Target organs- are certain tissue cells or organs that a hormone will affect. Target cells must have receptors specific to a given hormone if that hormone is to trigger a response. Target cells must have a specific protein receptor for the hormone to bind or have an effect.

What are the major targets of growth hormone?

Once released into the circulation, GH binds and activates the cell-surface GHR, as well as the related prolactin receptor in target tissues such as liver, muscle, bone, and adipose tissue (Fig. 1).

Article first time published on

What causes target cells?

Presence of cells called target cells may be due to: Deficiency of an enzyme called lecithin cholesterol acyl transferase. Abnormal hemoglobin, the protein in RBCs that carries oxygen (hemoglobinopathies) Iron deficiency.

What are target tissues in the endocrine system?

Target tissue refers to the intended site that a hormone will affect such as muscle. Receptor site. Receptor sites are special sites located on every target tissue and only communicate with the specific hormone intended for the target tissue.

Can target cells be anywhere in the body?

Though they travel everywhere in the body, hormones only influence specific target cells. A hormone may have relatively few targets, affecting only a few kinds of cells. A different hormone may affect nearly every cell in the body.

What hormone targets the uterus?

Endocrine gland/ source of hormoneHormoneTarget organ or tissueOvariesOestrogensReproductive organsProgesterone (from corpus luteum)UterusUterusProstaglandin (PGF2?)Corpus luteumPlacenta (in pregnant mare)Progesterone and oestrogensCorpus luteum

Which hormone has the most target cells in the body?

Growth hormone (GH). Growth hormone has more target cells than any other hormone in the body because of its…

What is a target organ quizlet?

Define target cell/organ. Are the cells/organs that are responsive to specific hormones. Define paracrine. Or local hormones, are the chemicals released by every cell in the body to diffuse to adjacent cells and communicate with them.

What are Neurocytes?

1. Any of the impulse-conducting cells that constitute the brain, spinal column, and nerves in vertebrates, consisting of a nucleated cell body with one or more dendrites and a single axon. 2. A similar impulse-conducting cell in invertebrates. In both senses also called nerve cell.

What are 3 factors that determine target cell activation by the hormone receptor interaction?

  • Target cells are cells that are receptive to a secreted hormone.
  • Target cell activation is. dependent on three factors; the hormone levels in the blood, the receptor levels on the target cell, and hormone–receptor affinity.

What are the two main targets of antidiuretic hormone ADH?

What are the two main targets of antidiuretic hormone (ADH)? The kidneys and the blood vessels.

What are the target tissues for prolactin?

The mammary glands are the target tissues for prolactin.

What happens after the target cells reach the receptor cells?

Hormones mediate changes in target cells by binding to specific hormone receptors. … When the number of receptors decreases in response to rising hormone levels, called down-regulation, cellular activity is reduced. Cells respond to a hormone when they express a specific receptor for that hormone.

What is the function of oxytocin?

Oxytocin is a hormone that acts on organs in the body (including the breast and uterus) and as a chemical messenger in the brain, controlling key aspects of the reproductive system, including childbirth and lactation, and aspects of human behaviour.

What is the function of ACTH?

ACTH controls the production of another hormone called cortisol. Cortisol is made by the adrenal glands, two small glands located above the kidneys. Cortisol plays an important role in helping you to: Respond to stress.

What cell releases HGH?

GH is synthesized and secreted by anterior pituitary cells called somatotrophs, which release between one and two milligrams of the hormone each day. GH is vital for normal physical growth in children; its levels rise progressively during childhood and peak during the growth spurt that occurs in puberty.

What does T3 and T4 target?

The cells of the developing brain are a major target for T3 and T4. Thyroid hormones play a particularly crucial role in brain maturation during fetal development by regulating actin polymerization during neuronal development.

What are target organs and tissues?

target organ. A tissue or organ upon which a hormone exerts its action; generally, a tissue or organ with appropriate receptors for a hormone.

What is the target tissue of insulin?

Insulin is a key hormone regulating glucose homeostasis. Its major target tissues are the liver, the skeletal muscle and the adipose tissue.

What are the three major endocrine glands in your body?

Many glands make up the endocrine system. The hypothalamus, pituitary gland, and pineal gland are in your brain. The thyroid and parathyroid glands are in your neck. The thymus is between your lungs, the adrenals are on top of your kidneys, and the pancreas is behind your stomach.

What are the 3 main parts of the endocrine system?

  • hypothalamus.
  • pituitary.
  • thyroid.
  • parathyroids.
  • adrenals.
  • pineal body.
  • the ovaries.
  • the testes.