The Daily Insight

Connected.Informed.Engaged.

updates

What are nodules on the liver

Written by David Ramirez — 0 Views

Liver disease relatedNon-specific, transient nodule1 (0.6%)High grade dysplastic nodule2 (1.2%)Liver disease unrelatedHemangioma6 (3.6%)

What is K76 89 diagnosis?

ICD-10-CM Diagnosis code K76.89 Cyst (simple) of liver. Focal nodular hyperplasia of liver.

What is the ICD 10 code for liver biopsy?

ICD-9-CM Diagnosis CodesICD-10-CM Diagnosis Codes155.0 Malignant neoplasm of liver, primaryC22.8 Malignant neoplasm of liver, primary, unspecified to type

What is the DX code for liver mass?

9; a liver mass is coded as R16.0, a liver tumor is coded as D49. 0, and a liver cyst is coded as K76. 89.

Do liver nodules cause pain?

The symptoms you experience depend on the type of liver lesion. Benign lesions typically do not cause symptoms, especially when they are small. On rare occasions, they can become large enough to press on nearby organs. When this happens, you may experience abdominal pain.

What is the ICD-10-CM code for elevated liver enzymes?

5.

What does nodule mean?

A nodule is a growth of abnormal tissue. Nodules can develop just below the skin. They can also develop in deeper skin tissues or internal organs. Dermatologists use nodules as a general term to describe any lump underneath the skin that’s at least 1 centimeter in size. It’s not a specific diagnosis.

What is ICD 10 code for liver hemangioma?

2022 ICD-10-CM Diagnosis Code D18. 0: Hemangioma.

What is the ICD 10 code for elevated liver enzymes?

01 for Elevation of levels of liver transaminase levels is a medical classification as listed by WHO under the range – Symptoms, signs and abnormal clinical and laboratory findings, not elsewhere classified .

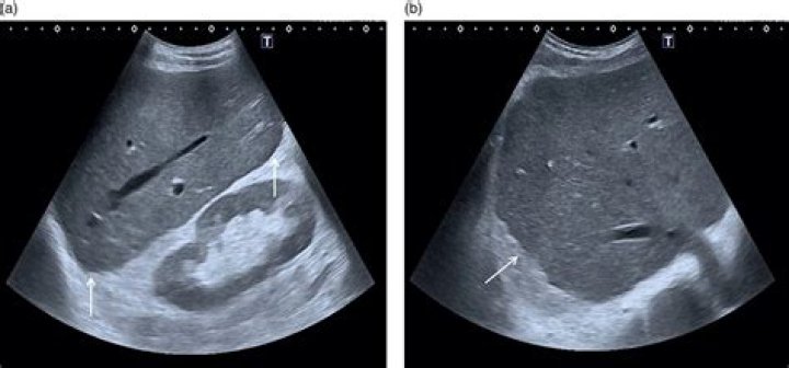
What is echogenic liver?

An echogenic liver is defined as increased echogenicity of the liver parenchyma compared with the renal cortex. The prevalence of echogenic liver is approximately 13% to 20%. In most clinical settings, increased liver echogenicity is simply attributed to hepatic steatosis.

Article first time published on

What are the symptoms of liver cysts?

The symptoms associated with liver cysts include upper abdominal fullness, discomfort, or pain. A small number of patients bleed into the cyst, which causes sudden and severe right upper quadrant and shoulder pain. The bleeding stops on its own, and the pain then improves over the next several days.

What is the ICD-10 code for end stage liver disease?

Hepatic failure, unspecified without coma The 2022 edition of ICD-10-CM K72. 90 became effective on October 1, 2021.

What is the CPT code for laparoscopic liver biopsy?

If a laparoscopic biopsy of the liver is performed at the same time as another laparoscopic procedure, use of the unlisted code 47379 is most appropriate, as there is no CPT code for a laparoscopic liver biopsy.

What is the ICD-10 code for biopsy?

ICD-10-CM Code(s): L98. 8 Other specified disorders of the skin and subcutaneous tissue.

Which fruit is best for liver?

Fill your fruit basket with apples, grapes and citrus fruits like oranges and lemons, which are proven to be liver-friendly fruits. Consume grapes as it is, in the form of a grape juice or supplement your diet with grape seed extracts to increase antioxidant levels in your body and protect your liver from toxins.

What causes liver nodules?

Non-malignant causes of liver nodules include cysts (simple cysts and multiple cysts typically associated with polycystic kidney disease), hepatic adenomas, focal nodular hyperplasia (FNH), hemangiomas, regenerative nodules, and various infections, including bacterial liver abscesses and infections secondary to …

What can I drink to flush my liver?

  1. Flush out with plenty of water intake: Water is the best flushing agent. …
  2. Get regular exercise: Exercise helps to burn extra calories that reduce your risk of diabetes, excess weight, high blood pressure, and high blood fat.

What's the difference between a nodule and a tumor?

Tumors that are generally larger than three centimeters (1.2 inches) are called masses. If your tumor is three centimeters or less in diameter, it’s commonly called a nodule.

What is a cancerous nodule?

A lung nodule is a small growth in the lung. Benign nodules are noncancerous and do not spread to other parts of the body. Malignant nodules are cancerous and can grow or spread quickly. Lung nodules are very common — in adults, they are visible on up to 50% of chest CT scans.

What is an example of a nodule?

Nodules in skin include dermatofibroma and pyogenic granuloma. Nodules may form on tendons and muscles in response to injury, and are frequently found on vocal cords. They may occur in organs such as the lung, or thyroid, or be a sign in other medical conditions such as rheumatoid arthritis.

What is the code for liver enzymes?

Order CodeOrder Code NameResult Code Name322755Hepatic Function Panel (7)Bilirubin, Direct322755Hepatic Function Panel (7)Alkaline Phosphatase322755Hepatic Function Panel (7)AST (SGOT)322755Hepatic Function Panel (7)ALT (SGPT)

What is ICD 10 CMP?

Encounter for screening for other metabolic disorders The 2022 edition of ICD-10-CM Z13. 228 became effective on October 1, 2021.

What does it mean if my liver count is high?

Elevated liver enzymes often indicate inflammation or damage to cells in the liver. Inflamed or injured liver cells leak higher than normal amounts of certain chemicals, including liver enzymes, into the bloodstream, elevating liver enzymes on blood tests.

What causes elevated AST?

High levels of AST in the blood may indicate hepatitis, cirrhosis, mononucleosis, or other liver diseases. High AST levels can also indicate heart problems or pancreatitis. If your results are not in the normal range, it doesn’t necessarily mean that you have a medical condition needing treatment.

What is elevated ALT?

When your liver is damaged or inflamed, it can release ALT into your bloodstream. This causes your ALT levels to rise. A high ALT level can indicate a liver problem, which is why doctors often use an ALT test when diagnosing liver conditions.

What is the ICD 10 code for elevated D dimer?

For elevated D-dimer, look to ICD-10-CM R79. 1 Abnormal coagulation profile.

What is the ICD-10 code for liver lesion?

K76. 9 is a billable/specific ICD-10-CM code that can be used to indicate a diagnosis for reimbursement purposes. The 2022 edition of ICD-10-CM K76.

How common is liver hemangioma?

How common are liver hemangiomas? Liver hemangioma is the most common benign (non-cancerous) liver tumor, affecting up to 5% of adults in the United States.

What is hemangioma of intra abdominal structures?

They are benign tumours that arise from embryonic remnants of unipotent angioblastic cells [1]. Although hemangiomas may occur anywhere within the abdomen, including the solid organs, hollow viscera, ligaments, and abdominal wall, the liver is the most common site.

Is echogenic liver bad?

It’s also found through imaging — such as ultrasound, CT scan or MRI — which can reveal increased echogenicity. That usually means the liver is more dense than normal toward sound waves. While imaging doesn’t directly measure fat, increased echogenicity is almost always related to excess fat in the liver.

What is the meaning of Grade 1 fatty liver?

Answers (1) Grade 1 fatty liver means early stage of fat deposit in liver. It happens because of dietary and lifestyle factors Pain needs evaluation.