The Daily Insight

Connected.Informed.Engaged.

news

What is hepatic parenchymal Echotexture

Written by Olivia Shea — 0 Views

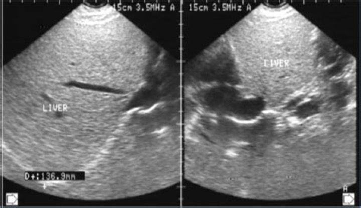
Definition. The appearance of the liver in sonographic images is normally uniform. This term applies when there is an irregular or non-uniform appearance of the liver parenchyma in liver sonography. [ from HPO]

What does Echotexture of the liver mean?

Definition. The appearance of the liver in sonographic images is normally uniform. This term applies when there is an irregular or non-uniform appearance of the liver parenchyma in liver sonography. [ from HPO]

What causes liver parenchyma?

The most common causes of cirrhosis are: Hepatitis and other viruses. Alcohol abuse. Nonalcoholic fatty liver disease (this happens from metabolic syndrome and is caused by conditions such as obesity, high cholesterol and triglycerides, and high blood pressure)

What is the hepatic parenchyma?

The liver parenchyma is mostly comprised by liver cells (hepatocytes). The major supporting cells are Kupffer cells and stellate cells. Kupffer cells are the resident mononuclear phagocytes. In quiescent state, the stellate cells are responsible for vitamin A storage and metabolism.

What does it mean by Echotexture?

(ĕk′ō-tĕks-chŭr) The characteristic pattern or structure of tissue layers as seen during ultrasonic imaging.

Is bananas good for your liver?

This is because the sugar present in fruits, known as fructose, can cause abnormal amounts of fat in the blood when consumed in large amounts. Bananas are not bad for the liver, but try to limit them to 1-2/ day and not beyond that as the fructose in them can lead to fatty liver diseases.

Does fatty liver cause coarse Echotexture?

An ultrasound examination is usually reported as showing a bright or fatty liver. In those with cirrhosis a heterogeneous or coarse echotexture, a nodular outline or splenomegaly may be found, but patients with cirrhosis may have a normal ultrasound.

What is parenchymal cells in humans?

Parenchyma makes up most of the cells within leaves, flowers, and fruits. … It refers to the cells that perform the biological function of the organ – such as lung cells that perform gas exchange, liver cells that clean blood, or brain cells that perform the functions of the brain.

What is the function of liver parenchyma?

Hepatocytes (liver parenchymal cells) perform the liver’s metabolic functions: Formation and excretion of bile as a component of bilirubin metabolism (see Overview of bilirubin metabolism.

Where is the parenchymal?

Parenchyma makes up the chloroplast-laden mesophyll (internal layers) of leaves and the cortex (outer layers) and pith (innermost layers) of stems and roots; it also forms the soft tissues of fruits.

Article first time published on

What are the symptoms of liver parenchymal disease?

Classic symptoms of liver disease include nausea, vomiting, right upper quadrant abdominal pain, and jaundice (a yellow discoloration of the skin due to elevated bilirubin concentrations in the bloodstream). Fatigue, weakness, and weight loss may also occur.

How do you treat liver parenchymal disease?

Specific conditions may be treated with medications including corticosteroids, interferon, antivirals, bile acids or other drugs. Supportive therapy for complications of cirrhosis include diuretics, albumin, vitamin K, blood products, antibiotics and nutritional therapy.

What are signs that your liver is not functioning properly?

  • Skin and eyes that appear yellowish (jaundice)
  • Abdominal pain and swelling.
  • Swelling in the legs and ankles.
  • Itchy skin.
  • Dark urine color.
  • Pale stool color.
  • Chronic fatigue.
  • Nausea or vomiting.

What is homogeneous parenchymal Echotexture?

Homogenous BP echo was considered when a uniformly echogenic layer of glandular tissue is present beneath the thin hypoechoic layer of fat lobules. In cases of mixture of multiple tiny hypoechoic areas, if scattered regularly throughout the gland, they were also considered as homogeneous BP echo.

What is the meaning of parenchymal echogenicity?

Echogenicity, therefore, refers to how bright or dark something appears in the gray-scale image; the brighter something appears, the more echogenic it is. With regard to the kidney, echogenicity generally refers to how bright or dark the kidney parenchyma appears in comparison to the liver.

What is fatty liver grade?

Fatty liver is graded as grade I, II or III depending on subjective assessment of fat accumulation in the liver. If you have fat but no inflammation or tissue damage, the diagnosis is NAFLD. If fat leads to inflammation and liver damage, the diagnosis is non-alcoholic steatohepatitis (NASH).

Is coarse Echotexture of liver reversible?

Liver coarse echo texture. Is reversible.

Is liver cirrhosis curable?

No, there is no cure for cirrhosis. The damage already done to your liver is permanent. However, depending on the underlying cause of your cirrhosis, there may be actions you can take to keep your cirrhosis from getting worse.

What causes fatty liver?

Causes of fatty liver disease. Eating excess calories causes fat to build up in the liver. When the liver does not process and break down fats as it normally should, too much fat will accumulate. People tend to develop fatty liver if they have certain other conditions, such as obesity, diabetes or high triglycerides.

Which fruit is best for liver?

Fill your fruit basket with apples, grapes and citrus fruits like oranges and lemons, which are proven to be liver-friendly fruits. Consume grapes as it is, in the form of a grape juice or supplement your diet with grape seed extracts to increase antioxidant levels in your body and protect your liver from toxins.

Is milk bad for liver?

Milk, yogurt and cheese can help metabolic syndrome almost immediately, a study found. Dairy intake will help lower systemic inflammation and liver enzymes in those who have metabolic syndrome and typically do not consume dairy, according to a recent study.

Is coffee good for liver?

Coffee also lowers the risk of other liver conditions including fibrosis (scar tissue that builds up within the liver) and cirrhosis. Drinking coffee can slow the progression of liver disease in some patients. Beneficial effects have been found however the coffee is prepared – filtered, instant and espresso.

What do you mean by parenchyma tissue?

Parenchyma is a type of tissue consists of cells that carry out an essential function. In botany (plant biology), parenchyma is the simple permanent ground tissues that form the bulk of the plant tissues, such as the soft part of leaves, fruit pulp, and other plant organs.

What is hyperechoic hepatic parenchyma?

The hyperechoic pattern represents a mild hepatic injury without major vessel injury and indicates that surgical management of hepatic injury is not required.

What is normal liver size?

By percussion, the mean liver size is 7 cm for women and 10.5 cm for men (Table 94.1). A liver span 2 to 3 cm larger or smaller than these values is considered abnormal. The liver weighs 1200 to 1400 g in the adult woman and 1400 to 1500 g in the adult man.

What does parenchymal mean in medical terms?

Medical Definition of parenchyma : the essential and distinctive tissue of an organ or an abnormal growth as distinguished from its supportive framework.

What is non parenchymal cells?

Hepatic non-parenchymal cells (NPCs) represent about 20% of the liver mass. NPCs are composed of Kupffer cells, liver sinusoidal endothelial cells (LSECs), stellate cells, and other cell types. Kupffer cells are the resident macrophage of the liver where they perform an immune surveillance role. …

Are parenchyma cells living or dead?

Parenchyma cells stay alive, typically helping produce and store nutrients. They constitute the majority of most plants.

What is the function and location of parenchyma?

Parenchyma forms the bulk of plant ground tissue, where they may be specialised to function in photosynthesis, storage, or transport. Parenchyma is integral to vascular tissue, where it provides a route of exchange for materials within and between the xylem and the phloem.

What are two functions of parenchyma?

  • Stores food and nutrients.
  • Provides support and foundation.
  • Involved in growth and development.
  • Provide mechanical rigidity to the plants.
  • They are the site of all metabolic activities.
  • Helps in regeneration, healing and repair of wounds.

What does a parenchyma look like?

Parenchyma consists of relatively large, thin-walled cells. The cells are arranged loosely, that is, there are intercellular spaces among them. The protoplasts of these cells contain chloroplasts. Some of these cells may have amyloplasts and crystals.